Penny
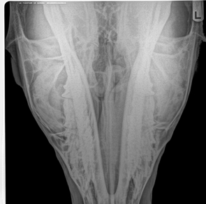
Penny is a 20ish yr old QH mare, kid gentle, great feet. She has a growth in her sinus that needs to be removed to save her, prognosis is very good with surgery. 3 vets are currently working with her and have donated a portion of their services to help this very nice mare. Penny had surgery on 8/31/11 and a tennis ball sized tumor was removed from her sinus cavity. Donations are appreciated. Penny’s foster home has offered her the lifetime home this nice mare deserves

Cramers Home Furnishings is currently sponsoring Penny’s medical care and RCER would like to thank them for all they have done for this special mare.
Special Thanks to Drs Zamzow, Hayden & Denome for all the medical work they have provided for Penny.

x-ray of Penny’s nose.
1/7/2012 , has a clean bill of health, still has some drainage coming from her nostrils, but is ready to start riding again. Penny loads like a dream, hauls quietly, just a very nice girl.

